Sickle Cell - Sickle Cell Anemia Symptoms Causes Treatments / If you have scd, it's important to learn how to stay as healthy as possible.

Sickle Cell - Sickle Cell Anemia Symptoms Causes Treatments / If you have scd, it's important to learn how to stay as healthy as possible.. If sickle cell anemia or sickle cell trait runs in your family, you and your spouse may wish to speak with a genetic counselor. Sickle cell disease is a group of disorders that affects hemoglobin, the molecule in red blood cells that delivers oxygen to cells throughout the body.people with this disease have atypical hemoglobin molecules called hemoglobin s, which can distort red blood cells into a sickle, or crescent, shape. With scd, the body organs and tissues don't get enough oxygen. Sickle cell is a disorder of the haemoglobin in the red blood cells. He or she can explain your chances of passing the condition to your children.

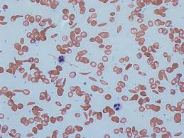
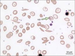
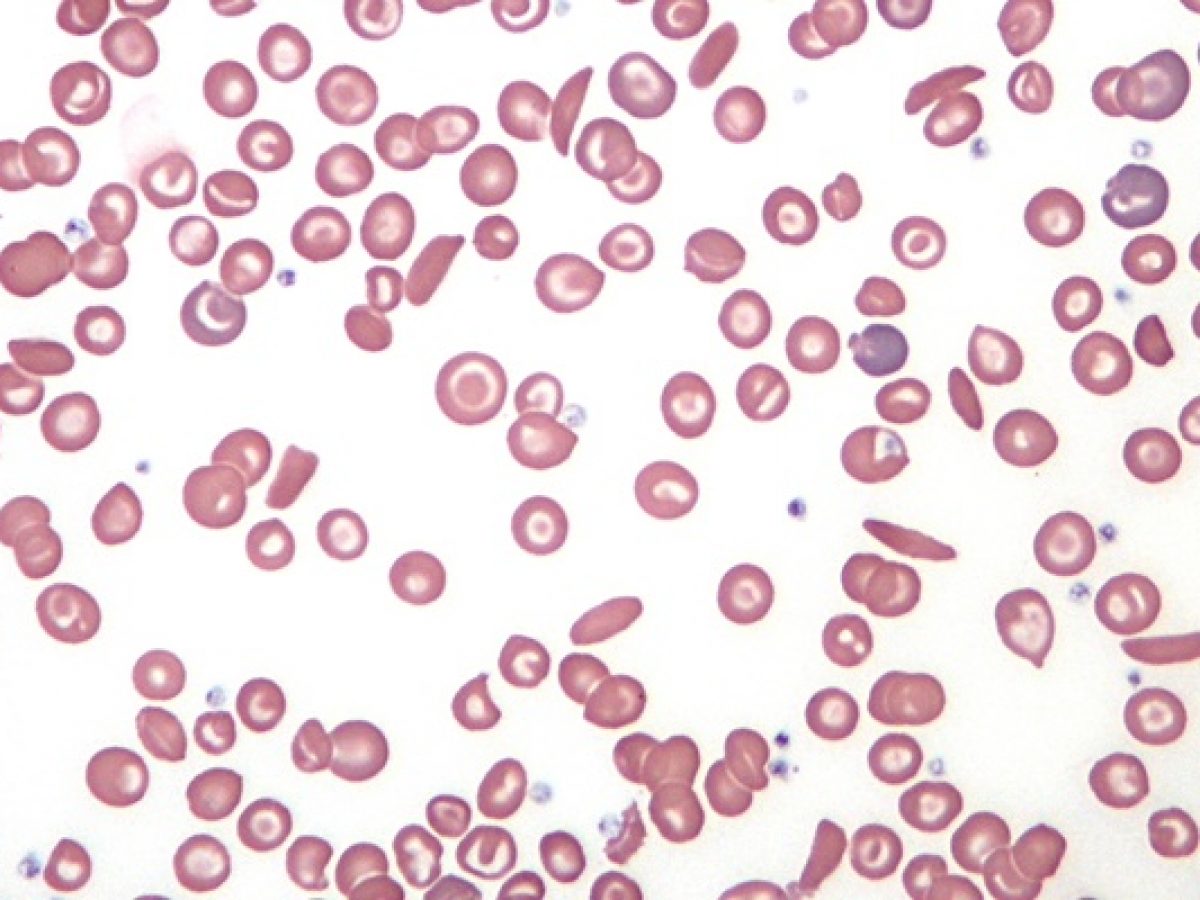
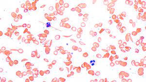
Sickle cell anemia is a disease in which the body produces abnormally shaped red blood cells that have a crescent or sickle shape. However, it is considered an orphan disease, meaning it impacts less than 200,000 people nationally, and is therefore underrepresented in therapeutic research. If you have scd, there is a problem with your hemoglobin. This is the protein in red blood cells that carries oxygen to all parts of the body. Signs and symptoms of sickle cell disease usually begin in early childhood.

Improved Gene Therapy In Sickle Cell Disease Technology Networks
Improved Gene Therapy In Sickle Cell Disease Technology Networks from cdn.technologynetworks.com
Red blood cells carry oxygen to all parts of the body through a substance called hemoglobin. Our patient support center offers free programs and resources for you and your family. They can be blood, marrow and organ donors. Signs and symptoms of sickle cell disease usually begin in early. Sickle cell disease is a blood disorder in which the hemoglobin is damaged and can't carry oxygen to the tissues. Problems in sickle cell disease typically begin around 5 to 6. Sickle cell disease is the name for a group of inherited health conditions that affect the red blood cells. Approximately 100,000 americans have the disease.

Sickle cell disease causes and risk factors.

It's time to support scd patients who face difficulties beyond their disease. Signs and symptoms of sickle cell disease usually begin in early childhood. People with sickle cell trait got the sickle cell gene from 1 parent but not both. In the united states, sickle cell disease is most prevalent among african americans. Learn more about sickle cell disease and its effects. Treatment of sickle cell anemia may include any of the following: Approximately 100,000 americans have the disease. The sickle cells also get stuck in blood vessels, blocking blood flow. Resources for you and your family. Sickle cell anemia is one of a group of disorders known as sickle cell disease. However, it is considered an orphan disease, meaning it impacts less than 200,000 people nationally, and is therefore underrepresented in therapeutic research. The most serious type is called sickle cell anaemia. In the united states, the disease occurs most often among african americans (in about 1 of every 400 african american births) and among hispanics of caribbean ancestry (1 in every.

Sickle cell anemia, or sickle cell disease (scd), is a genetic disease of the red blood cells (rbcs). Signs and symptoms of sickle cell disease usually begin in early. It occurs when a child receives two sickle cell genes—one from each parent. Our patient support center offers free programs and resources for you and your family. Sickle cell trait is not a disease and will never turn into a disease.

Sickle Cell Anemia What You Should Know Personalized Hematology Oncology Of Wake Forest
Sickle Cell Anemia What You Should Know Personalized Hematology Oncology Of Wake Forest from www.hemoncnc.com
Problems in sickle cell disease typically begin around 5 to 6. It's time to support scd patients who face difficulties beyond their disease. Who gets sickle cell anemia? Children and young adults can die from the disease. Sickle cell disease (scd) is a group of blood disorders typically inherited from a person's parents. The defect forms abnormal hemoglobin. Sickle cell disease (scd) is a group of inherited red blood cell disorders. Hemoglobin is a protein in red blood cells that carries oxygen throughout the body.

Sickle cell disease is the name for a group of inherited health conditions that affect the red blood cells.

Hemoglobin is the part of the red blood cell that carries oxygen to different parts of the body. He or she can explain your chances of passing the condition to your children. Sickle cell disease is a group of disorders that affects hemoglobin, the molecule in red blood cells that delivers oxygen to cells throughout the body.people with this disease have atypical hemoglobin molecules called hemoglobin s, which can distort red blood cells into a sickle, or crescent, shape. It's time to support scd patients who face difficulties beyond their disease. Sickle cell is a disorder of the haemoglobin in the red blood cells. Sickle cell disease (scd) is a blood disorder that a child is born with. The defect forms abnormal hemoglobin. Learn more about sickle cell disease and its effects. In the united states, sickle cell disease is most prevalent among african americans. Sickle cell disease can be diagnosed in an unborn baby by sampling some of the fluid surrounding the baby in the mother's womb (amniotic fluid). If you or your partner has sickle cell anemia or the sickle cell trait, ask your doctor about this screening. Sickle cell disease (scd) is a group of inherited red blood cell disorders. More on the trial aiming to cure sickle cell 05:09.

Hemoglobin is the part of the red blood cell that carries oxygen to different parts of the body. Sickle cell disease (scd) is a group of inherited red blood cell disorders. Who gets sickle cell anemia? It occurs when a child receives two sickle cell genes—one from each parent. Explore scd resources & information

Sickle Cell Anemia Symptoms And Causes Mayo Clinic
Sickle Cell Anemia Symptoms And Causes Mayo Clinic from www.mayoclinic.org
Normally, the flexible, round red blood cells move easily through blood vessels. Normally, rbcs are shaped like discs, which gives them the flexibility to travel through even. Children and young adults can die from the disease. Sickle cell disease (scd) is a blood disorder that a child is born with. It's time to support scd patients who face difficulties beyond their disease. Signs and symptoms of sickle cell disease usually begin in early. Sickle cell disease can be diagnosed in an unborn baby by sampling some of the fluid surrounding the baby in the mother's womb (amniotic fluid). Download pdf icon state data.

Children with scd make an abnormal type of hemoglobin.

It's passed down through a parent's genes. Most people with sickle cell trait don't have any symptoms of scd. More on the trial aiming to cure sickle cell 05:09. Explore scd resources & information Resources for you and your family. Sickle cell disease is a genetic condition that affects the body's red blood cells. These blood cells with the defective hemoglobin are sticky and can build up and block small blood vessels leading to pain and other complications of the disease. Sickle cell anemia is an inherited red blood cell disorder in which there aren't enough healthy red blood cells to carry oxygen throughout your body. Approximately 100,000 americans have the disease. Treatment of sickle cell anemia may include any of the following: Sickle cell disease can be diagnosed in an unborn baby by sampling some of the fluid surrounding the baby in the mother's womb (amniotic fluid). Normally, the flexible, round red blood cells move easily through blood vessels. These cells do not last as long as normal, round, red blood cells, which leads to anemia (low number of red blood cells).

Previous
Next Post »